Online appointments
Home
Why-Choose-US
Dental-Problems
ENT-Problems
Before-After
Videos
Contact
BEFORE - AFTER
Home
BEFORE - AFTER
BEFORE - AFTER
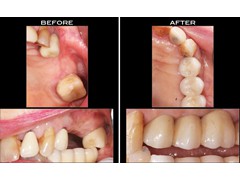
Bridges
Full Mouth
Full Mouth
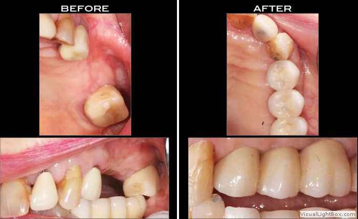
Implants n Bridge
Implants
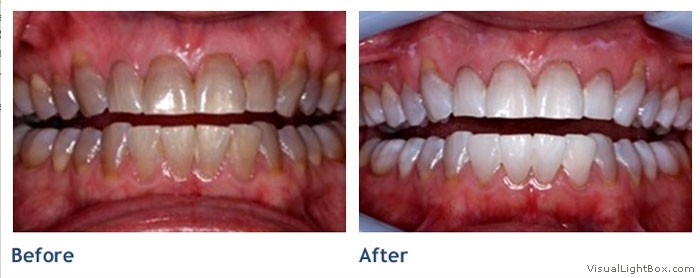
Restorations
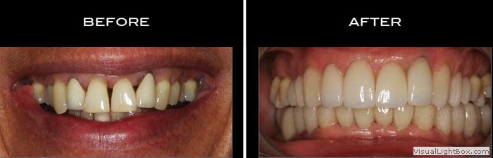
Smile Designing
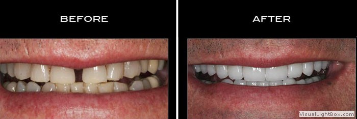
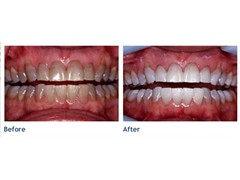
Veener
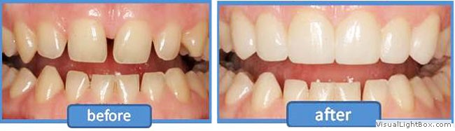
Veener
Veener
Veener
Veener
Veener
Veener
sVeener
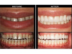
Cosmetic n Whitning
Pola Bleacing
photo gallery joomla lightbox
by VisualLightBox.com v6.1